在日常生活和健康管理中,足部健康往往容易被忽视。拇外翻(俗称“大脚骨”)是一种较为常见的前足畸形,可能对部分人群的生活质量产生影响。

什么是拇外翻?
—
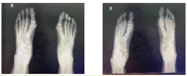
拇外翻是指拇趾在第一跖趾关节处向外偏斜,超出正常生理范围。其形成原因可能包括先天因素(如足部结构异常)或后天因素(如长期穿着不合适的鞋子)。




拇外翻的常见表现
—
外观变化:大脚趾向外偏斜,足部横弓可能变宽。
疼痛或不适:部分患者在行走或站立时可能出现疼痛。
足部皮肤问题:如局部红肿、老茧或鸡眼等。

拇外翻的就医建议
—
拇外翻可能对足部健康和生活质量产生影响。如发现相关症状,建议及时到正规医疗机构就诊,由专业医生进行评估和治疗。
在临床诊疗中,针对拇外翻通常包括以下诊疗方式:
临床诊断:通过医学检查评估病情
手术治疗:根据病情需要可能采用相应术式
术后管理:包括康复指导等医疗措施
具体治疗方案需由专业医生根据个体情况制定。建议患者在医生指导下选择合适的诊疗方式。

拇外翻的微创矫正治疗
—
拇外翻可能导致足部疼痛和形态改变,影响日常活动。在临床治疗中,微创手术是可选的治疗方式之一。
目前针对拇外翻的治疗方法包括:
保守治疗:如矫形器具、物理治疗等
手术治疗:包括传统手术和微创手术等方式

微创手术的特点是切口较小,具体手术方式需由专业医生根据患者个体情况决定。术后恢复情况因人而异,建议遵医嘱进行科学康复训练。
如出现拇外翻症状,建议到正规医疗机构就诊,由专业医生评估后制定适合的治疗方案。
